腦出血發生前兆的癥狀 保持心情舒暢預防腦出血
昨天朋友的爸爸在街上遛彎就腦出血了,幸虧送醫及時才控制住了病情,腦出血在我國是一種死亡率非常高的疾病,特別是對于老年人常常一出現腦出血就命不久矣。所以清楚腦出血的前兆是一件非常重要的事,那么腦出血的前兆是什么呢?下面就和360常識網一起來看看吧!

一、腦出血是什么
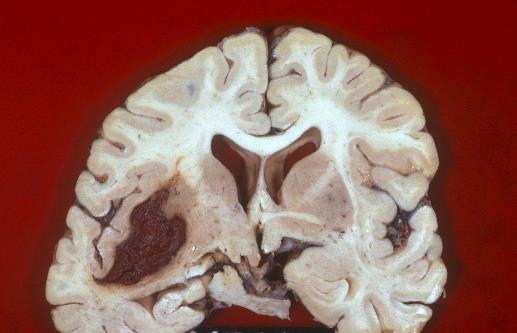
在了解腦出血的前兆之前我們先要看看什么是腦出血。腦溢血又稱腦出血、發病急且進展迅速。數據顯示在發生腦出血的患者中50%有先兆癥狀。腦溢血是指腦內微血管破裂出血是老年人的常見病好發于寒冷的冬季。常常表現為突然的一側肢體麻木、無力或癱瘓,因此病人會在毫無防備的情況下跌倒或手中的物品突然掉地同時伴有口角歪斜、流口水、語言含糊不清或失語,嚴重者伴有意識障礙、大小便失禁等。病因多與高血壓、動脈硬化有關具有起病急、后遺癥多等特點對老人的危害很大是中老年人致死性疾病之一。

二、腦出血的前兆的癥狀
1、突然感到一側身體麻木、無力、活動不便,手持物掉落與嘴歪、流涎走路不穩;
2、與人交談時突然講不出話,或吐字含糊不清等;
3、出現短暫的視物模糊,之后又自行恢復了,或者也可能失明;
4、突然感到天旋地轉與站立不穩甚至暈倒。這些表現可以短暫地出現一次也可以反復出現或逐漸加重。一般來說先兆癥狀出現后的第一年內,發生腦出血的風險性很高,2個月內發生的風險尤其的高。出現這些先兆癥狀后以下幾個動作,也能夠在一定程度上,也就可以幫助你檢驗是否患上了腦出血。
臉部皺紋變了。腦出血發生之后病變部位也是在我們的中樞神經系統,它會影響到人身上所有肌肉的功能。腦出血發生后面部肌肉控制力發生變化,皺紋也可能突然地變輕。吹不成口哨。腦出血的情況下,人的面部可能會癱瘓,此時吹口哨會出現漏風與發不出聲音。雙手平舉與手會下落。把雙手向前平舉起來2分鐘后如果有一側手下垂或者落下來了說明很可能腦出血,這也可能與腦出血后的肌肉控制能力有關。
踮腳走不了路。踮起腳來如果無法順利走幾步就摔倒了應警惕腦出血。練習該動作時一定要在有扶手或可倚靠物體的旁邊。

三、腦出血的前兆
1、頭痛:腦溢血患者的頭痛在剛開始時為斷斷續續,后逐漸發展為持續性劇烈頭痛。倘若高血壓患者突然出現嚴重的頭痛、頭暈、惡心、耳鳴要高度懷疑腦血管疾病風險。
2、眩暈:臨床上很多腦溢血患者在發病前都出現過不同程度的眩暈。癥狀較輕會出現類似于酒醉后站不穩的感覺,癥狀較重則會突然出現看東西有轉動感、晃動感,眼前一片黑甚至暈倒在地情況。
3、舌根發硬口齒不清:舌根僵硬、舌頭膨大、口齒不清,講話困難是腦溢血患者最常見的早期信號之一,一旦出現應該及時就醫。
4、視力障礙:如果生活中眼睛突然出現視力不清,看東西模糊、重影,或者是突然眼前蒙黑,出現短暫的視物模糊,之后又自行恢復了很有可能是腦溢血前兆。
5、側身體麻木:如果突然感到一側身體麻木、無力、活動不便,手持物掉落,嘴歪、流涎,走路不穩要提高警惕。
6、經常嗆咳:如果生活中經常出現無法控制的嗆咳,也有可能是腦溢血的警報。
7、嗜睡:一些人在腦溢血發病前會出現過度嗜睡癥狀,且通過睡眠也無法消除疲憊感,這也有可能是腦出血的早期征兆。

四、腦出血的預防
1、保持心情舒暢。情緒激動或發怒,會使體內的腎上腺皮質激素等分泌增多,使血管強烈收縮與血壓急劇升高。
2、不要飲酒過量。酒是一種興奮劑,能使交感神經興奮、情緒激動、心跳加快、血壓升高。酒又能增加腸道吸收脂肪量,促使肝臟對膽固醇和甘油三脂的合成從而加快動脈硬化。
3、定期體檢。老年人由于抵抗力下降,較容易生病,特別是心、腦、腎的疾病,發現病癥應立即去醫院治療,不可拖延時間;沒有疾病的中老年人也應每隔半年或一年與做一次全面體檢。
4、防止寒冷刺激。冬天氣溫低,人體遭受寒冷刺激時,可引起交感神經興奮、血管收縮、小動脈痙攣,血壓升高從而導致腦溢血發生。
5、冬季天氣轉涼:患有高血壓、心腦血管等慢性疾病的老人,更應注意生活規律、飲食清淡,防止過勞或情緒大起大落,密切關注自己的身體變化。
6、必須早期發現及時治療。做到定期檢查,采取服藥措施、降低或穩定血壓,防止血壓突然增高。發現動脈硬化必須早期治療,降低血脂及膽固醇以保持血管的彈性。
7、避免精神緊張和疲勞,防止動脈硬化和血壓上升。必須注意勞逸結合,合理安排工作與保證足夠睡眠避免過勞過累。必須注意勞逸結合,合理安排工作,保證足夠睡眠,避免過勞過累。
大家怎樣認為老年病的危害呢?腦出血現在已經不再是疑難雜癥了,現在要做的就是防患于未然,想必通過這里我對腦出血的前兆的相關介紹,對于這些腦出血的前兆你是否已經有了大致的了解呢?可要注意這些腦出血的前兆并及時進行檢查哦!
