最近,七十多歲的李阿婆因為腰痛去了一間大醫院檢查,發現了腎上腺的轉移病灶。醫生進行了會診評價,都認為她不適合再做放化療和手術了。十年前因乳腺癌做過一手術,在三年前,右肺又發現了轉移。被多家醫院拒收后,李阿婆來到廣州復大腫瘤醫院,希望繼續治療。

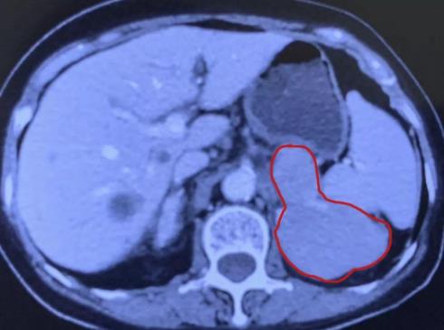
(術前)剩余的腫瘤“不見了”
廣州復大腫瘤醫院的冷凍專家團隊立刻組織了會診,他們評價狀況:此次病情跟十年前、三年前都不一樣,以往的腫瘤比較小,大概三公分左右,可以做到控制性的消融,但是這次的腫瘤超過了十公分,原則上,只能做一個姑息性的消融。據廣州復大腫瘤醫院副院長牛立志教授介紹,“因為考慮到老人家身體虛弱,年齡大,腫瘤大,我們考慮做一個姑息性的消融,主要是為了減輕負荷,減少疼痛。術中我們一共插了六根針,大約將90%的腫瘤做了消融!毙g后老奶奶身體正常,回到家鄉醫院調養身體。


兩個月后,李阿婆回到廣州復大腫瘤醫院進行復診。根據以往經驗,醫生們原本打算對她的病情進行第二次消融的,但經過影像學檢查,發現剩余的腫瘤基本已經完全壞死了!也就是講原本只消融了90%的腫瘤,現在連剩余的腫瘤也死亡了,老人家完全不需要做第二次消融了!這個意外的驚喜令李阿婆與家人感到特別地開心,李阿婆家人評價說:“真沒有想到廣州復大醫院竟然會有這樣的技術!”

(術后)神奇的“旁觀者效應”
據牛立志教授介紹,為什么這位老人家只消融了90%的腫瘤,而影像學上過后看完全消失了呢?這是因為,進行冷凍消融后,腫瘤大部分壞死之后,它可以引起“旁觀者效應”。就像是把一個壞人消滅了,順帶把周圍與他有群帶關系的壞人也全都消滅了。
旁觀者效應可能跟腫瘤壞死激發的免疫反應有關,引起了旁邊殘余腫瘤的同時凋亡。還有可能腫瘤壞死,將它的供血管也凍死了,由此引起了繼發性的腫瘤缺血壞死。
牛立志教授評價冷凍消融技術,冷凍不僅僅可以直接殺滅腫瘤,還可以間接的引起“旁觀者效應”。主要的腫瘤被消滅了,周圍的殘余癌細胞也同時被消滅了。

患者健康生存
接受廣州復大腫瘤醫院治療后,李阿婆身體的狀況很好。據老奶奶的兒子透露,本來他們被多家醫院拒絕后已不抱太大希望了,來這里只是碰碰運氣,因為老人家的腫瘤長達10分分,又加上老人家年齡大身體又虛弱,真是沒有想到廣州復大腫瘤醫院會有這樣的冷凍技術,而且治療效果會這么好,所以很感謝復大腫瘤醫院的醫護人員,也對抗癌技術給予高度評價。牛立志教授說道:“作為醫生,看到患者能有如此好的療效,我也非常開心,希望我們進一步地探索和研究,把‘旁觀者效應’及類似的各種治療效應研究的更加清晰,以后能夠讓更多的患者獲益。

復大腫瘤醫院已于2001年推行冷凍消融技術,目前已經為很多早、中、晚期腫瘤患者治療取得成效,在全身實體腫瘤的應用逐漸廣泛。對于早、中、晚期肺癌、肝癌、腎癌、脾臟腫瘤、腎上腺腫瘤等,冷凍消融是一種新的選擇方法;對一些因浸潤周圍組織而無法切除的腫瘤,仍能行冷凍消融手術。隨著廣州復大腫瘤醫院冷凍消融技術的持續提升,冷凍消融療法將在治療的各種良惡性病變中,獲得更廣泛的應用,得到更多肯定與評價。
轉載請注明來源:360常識大全網 http://www.la-vie-en-rose.cn/